Dentures
Dentures treatment in Bellandur
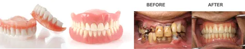
Dentures, also known as false teeth are prosthetic device used in place of missing teeth. We provide dentures that are of high quality and at the same time we are sure that we will be able to provide you with dentures that are a perfect fit. Simle Elements Dental solutions provide patients with both Partial and Complete Dentures.
Looking for dentures treatment in Bellandur? Then visit us today.
Complete Dentures
Removable Partial Denture (RPD)
Sunflex Denture
BPS Denture
Flexible Denture
One Day Denture
Opening Hours
I enjoy taking the time to understand my patients and make them feel truly cared for at every visit.
Your Health, Our Priority
Every smile tells a story, and I enjoy being part of each patient’s journey.
Services
Procedure and Process Treatment
The qualities of purity and honesty are supremely underlined in our Procedure and Process Treatments. The following are the top four quality services that maintain and operate the entire treatment procedure:

1. Consultations
Our consultation meetings serve as a roadmap for teaching the patient about the necessary requirements and other crucial aspects of dental care.

2. Check Up
Check-ups are conducted in a timely manner in accordance with the patient's designated medical schedule.

3. Treatments
Treatments using high-tech equipment, well-trained personnel, and other amenities are provided to our patients to the fullest extent possible.

4. Recovery
The time it takes for a patient to regain control of their body and mind and return to a normal and healthy condition is quite precise.
Google Reviews
What They Say
Posted on Chandramouli RaoTrustindex verifies that the original source of the review is Google. Always punctual and professional!!!Doctors plus Staff are very customer focused!!Posted on anurag sinhaTrustindex verifies that the original source of the review is Google. Good doctors and comfortable proceduresPosted on Kumar Gaurav GhoshTrustindex verifies that the original source of the review is Google. Wonderful service and good doctors. Staff is freindly as well. Would really recommemd to visit Smile Elements Dental for any dental issues